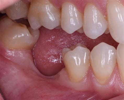
Atraumatic Tooth Extraction For Bone Preservation

Atraumatic Tooth Extraction For Bone Preservation

Atraumatic Tooth... - Lavish Quality Surgical Instruments

The meaning of ATRAUMATIC is designed to minimize tissue damage : not causing injury or trauma. How to use atraumatic in a sentence. Aug 27, 2025 · Atraumatic: No visible or palpable evidence of trauma, such as lacerations, bruising, swelling, hematomas, or fractures. This shorthand phrase appears so frequently in clinical. Looking for online definition of atraumatic in the Medical Dictionary? atraumatic explanation free. What is atraumatic? Meaning of atraumatic medical term. What does atraumatic mean? Jul 3, 2025 · Atraumatic in medical terms refers to something that does not cause trauma, injury, or damage to tissues, and is used to describe procedures, techniques, or instruments designed to. Jul 20, 2025 · In a medical context, the term “atraumatic” refers to a guiding principle of minimizing tissue injury and psychological distress during any patient interaction. It describes methods,.

Sep 24, 2024 · An atraumatic finding means that the head appears intact and without any signs of injury, suggesting that the individual has not recently experienced any physical head trauma. Feb 7, 2024 · "Atraumatic" in medicine refers to a method or procedure that does not cause any injury or harm to the body. It is often used to describe medical tools or techniques that are designed to. Sep 24, 2025 · The medical term 'atraumatic' describes any technique, instrument, or procedure designed to cause minimal to no injury or stress to the body's tissues during an intervention or. atraumatic, adj. meanings, etymology, pronunciation and more in the Oxford English Dictionary

Socket Preservation Bone Grafting | Tooth Extraction Restoration

Socket Preservation Bone Grafting | Tooth Extraction Restoration

Extraction, Preservation & Bone Grafting | North Harbor Dentistry

Extraction, Preservation & Bone Grafting | North Harbor Dentistry

Read also: Essential Health Facts And What Is Spit Tobacco Explained

close