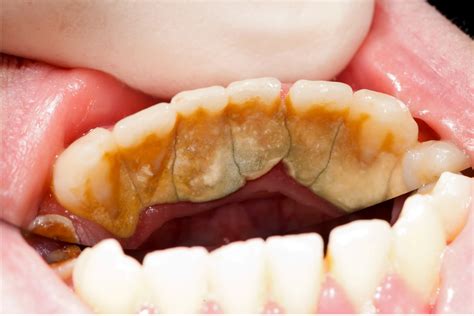
Doctors Clash Over The Best Supragingival And Subgingival Tools
Discover top Family Physicians in Chantilly, VA - View 956 providers with an average of 27 years experience and 4,343 reviews. Discover top Gastroenterologists in Chantilly, VA - View 120 providers with an average of 31 years experience and 1,558 reviews. Discover top Rheumatologists in Chantilly, VA - View 36 providers with an average of 27 years experience and 738 reviews.
Ultrasonic Plaque Remover & Dental Cleaner Kit | 5 Modes for Calculus ...
