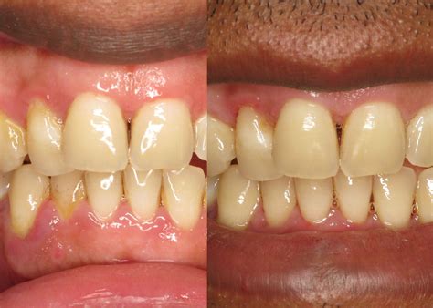
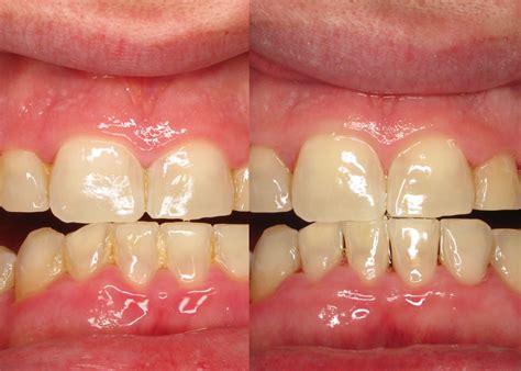
Neal Lehrman Methods Reduce Recovery Time For Laser Gum Surgery
I'm Neal. This is where I make stuff on the web. Obligatory links: Games, visualizations, interactives and other weird stuff. Visualize all the amazing things happening every second around the world. Made by Neal Agarwal. Hi! I'm Neal. This is where I make stuff on the web. Obligatory links: The creator of Neal.fun, Neal Agarwal, is known for building web-based tools and experiences that capture attention and spark curiosity. He develops projects that simplify complex ideas or.
LANAP Laser Gum Surgery NYC – Best Periodontist Upper East Side ...
